Перейти до основного вмісту
Чат
  • Укр
  • Рус

Повідомлення

Додати оголошення
Ортодонт. Діти та дорослі: діагностика, планування, лікування
Ортодонт. Діти та дорослі: діагностика, планування, лікування
Ортодонт. Діти та дорослі: діагностика, планування, лікування
Ортодонт. Діти та дорослі: діагностика, планування, лікування
Ортодонт. Діти та дорослі: діагностика, планування, лікування
РекламуватиПідняти

Бізнес

Тип прийому: У салоні, кабінеті

Вид послуги: Стоматолог

Опис

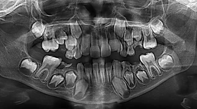
Наш лікар-ортодонт працює над корекцією прикусу та вирівнюванням зубів, створюючи привабливу та здорову посмішку. Перед початком лікування ми проводимо ретельний аналіз за допомогою панорамних знімків, КТ та діагностичних моделей, а також створюємо фотопротокол.

У нашій практиці ми використовуємо різноманітні методи корекції, включаючи лігатурні брекети (металеві, керамічні), самолігуючі брекет-системи, розширюючі апарати, пластинки, лікувальні капи, прозорі ретенційні системи та інші передові техніки.

Наша команда з великим задоволенням допоможе вам досягти ваших цілей у вирівнюванні зубів та створенні здорової, привабливої посмішки.

citydental.kr.ua
ID: 835084103

Зв’язатися з продавцем

City Dental

на OLX з лютий 2010 р.

Онлайн 27 жовтня 2025 р.

xxx xxx xxx

Опубліковано 27 жовтня 2025 р.

Ортодонт. Діти та дорослі: діагностика, планування, лікування

Місцезнаходження

Безкоштовний застосунок на твій телефон